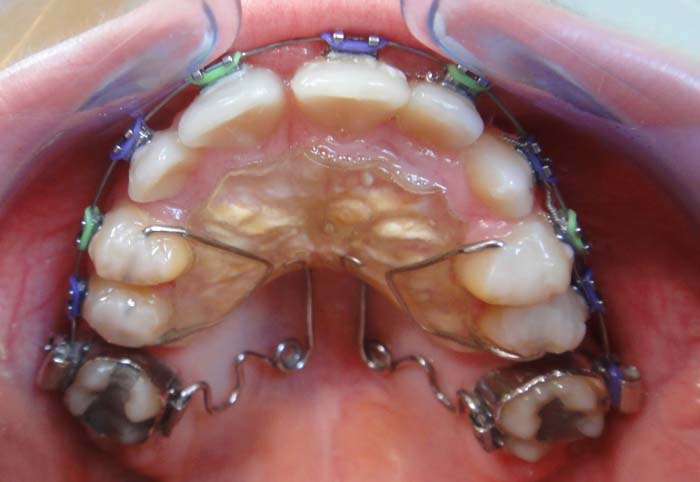
Aparat se sastoji od ortodontskih prstenova koji se cementiraju na prve stalne molare, okluzalnih žičanih naslona koji su postavljaju u jamice na griznim površinama premolara i pričvrste za zub pomoću kompozitnih materijala. Zatim, od akrilatnog tela koje prekriva krov usta (nepce) i opruga koje se pričvršćuju za prstenove. Opruge prave pritisak i pomeraju molare unazad.

Pendulum aparat se koristi za pomeranje gornjih molara unazad. Time se stvara prostor za ostale stalne zube da bi mogli da niknu u dobrom položaju, dok se istovremeno koriguje i zagrižaj.
Savetujemo pacijente da ispiraju vodom usta nakon jela. Četkajte i čistite koncem kao i obično, posebno vodeći računa o čišćenju oko akrilatnog tela i opruga.
Na početku nošenja aparata, zbog blagog ograničenja pokreta jezika, biće primetno šuškanje pri govoru. Vaš govor će se vratiti u normalu za samo nekoliko dana.
Čitajte svoju omiljenu knjigu, časopis itd. pred ogledalom pet minuta dnevno – vaš govor će začas biti savršen.
Prvih nekoliko dana terapije pacijent može osećati pritisak u predelu bočnih zuba usled pomeranja kutnjaka unazad. Po potrebi može uzeti lek protiv bolova.
| STANICA | AUTOBUS | TROLEJBUS | TRAMVAJ |
| Cvijićeva | 77, 79 | 28, 40 | |
| Mašinski fakultet | 65, E4 (mini) | 2, 5 | |
| Vladetina | 26 | 2, 5 |
Vladetina 21A/4,
Tašmajdan, Beograd
Radno vreme
Ponedeljak - Petak od 11h do 19h