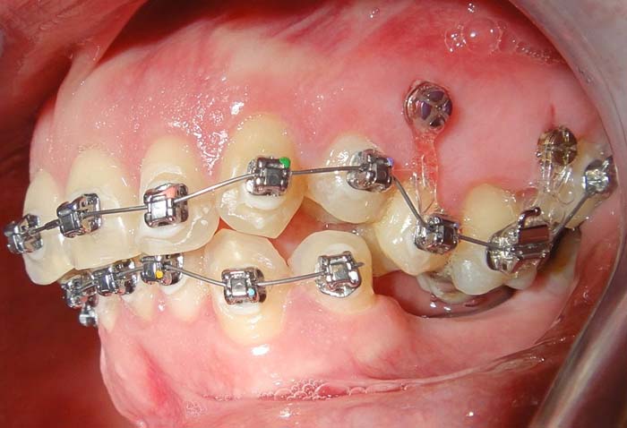
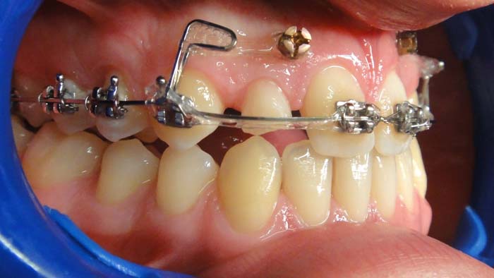
Služi kao oslonac za aplikaciju sile kada se želi postići dobro kontrolisano, brzo i efikasno pomeranje zuba, na najudobniji mogući način.
Mini implanti se koriste kao oslonac za elemente fiksne proteze u slučajevima kada se ortodontska sila iz odredjenih razloga ne može primeniti direktno na zube. Oni se povezuju sa fiksnim aparatom na zubima kako bi se pomoglo zatvaranje prostora, korekcija sredine zubnih nizova, korekcija zagrižaja i u mnoge druge svrhe.

Postavljanje mini implanta vrši ortodont, oralni hirurg, parodontolog ili opšti stomatolog. Ugradnja mini implanta je veoma jednostavna! Na mesto gde se postavlja, nanosi se površinski anestetik da bi se anestezirale desni. Nakon toga se mini implant nežno aplikuje kroz desni u koštano tkivo. Postupak je brz i bezbolan, brži nego što bi ste očekivali! Dok vaš doktor aplikuje mini implant, možete osećati blagi pritisak, a već tokom dana ćete potpuno prestati da osećate da je mini implant postavljen.
Kada se potpuno završi ortodontska terapija, ili kada više nije potreban u terapiji, mini implant se uklanja u jednostavnoj proceduri koja traje manje od minuta.
Mini implanti se čiste na isti način kao i fiksna proteza. Potrebno ih je svakodnevno prati četkicom za zube i čistiti koncem za zube, kako bi se očuvalo oralno zdravlje tokom cele ortodontske terapije. Posebnu pažnju treba posvetiti čišćenju oko mini implanta jer meka tkiva koja ih okružuju imaju veću sklonost ka zapaljenju ako nisu pravilno očišćena. Uputstvo o održavanju higijene, kako o načinu tako i o sredstvima, dobićete u našoj ordinaciji od lekara i asistenta.
Ortodontski mini implanti mogu biti indikovani u terapiji kako bi proces lečenja bio što efikasniji i kvalitetniji. Ako imate pitanja o mini implantima, obratite se našoj ordinaciji. Odgovorićemo na svako vaše pitanje i daćemo vam detaljne informacije o vašoj ortodontskoj terapiji.

| STANICA | AUTOBUS | TROLEJBUS | TRAMVAJ |
| Cvijićeva | 77, 79 | 28, 40 | |
| Mašinski fakultet | 65, E4 (mini) | 2, 5 | |
| Vladetina | 26 | 2, 5 |
Vladetina 21A/4,
Tašmajdan, Beograd
Radno vreme
Ponedeljak - Petak od 11h do 19h