NAŠA STOMATOLOŠKA ORDINACIJA SA RADOŠĆU DOČEKUJE DECU SVIH UZRASTA. ORTODONTSKA TERAPIJA U UZRASTU MALOG DETETA OBEZBEDIĆE VAŠEM DETETU ZDRAV I LEP OSMEH ZA BUDUĆNOST.
Kod dece koja rastu, specijalisti ortopedije vilica ortodontskim aparatima mogu uticati na promenu i poboljšanje rasta vilica i zuba i time korigovati nepravilnosti zagrižaja. Zato je važno da deca još sa 6 godina imaju prvi pregled kod ortodonta, kako bi na vreme započeli terapiju. Pažljivo sprovedenom terapijom u ranom uzrastu usmerava se način rasta i razvoja vilica i lica, što sprečava nastanak težih nepravilnosti u kasnijem dobu.
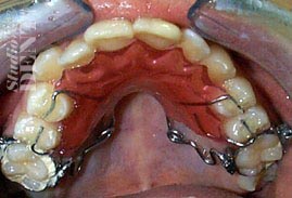
Ortodonti u periodu rasta dece često predlažu funkcionalne fiksne aparate za korekciju nepravilnosti zagrižaja. Ovi aparati se cementiraju na zube tako da ih pacijenti tokom terapije ne mogu izvaditi iz usta. Za korekciju nepravilnog zagrižaja funkcionalni aparati koriste silu koja nastaje aktivacijom (funkcijom) mišića za žvakanje. Ta sila se preko aparata prenosi na vilice i zube, što stimuliše (ili koči rast vilica) i pomera zube u bolji položaj.

| STANICA | AUTOBUS | TROLEJBUS | TRAMVAJ |
| Cvijićeva | 77, 79 | 28, 40 | |
| Mašinski fakultet | 65, E4 (mini) | 2, 5 | |
| Vladetina | 26 | 2, 5 |
Vladetina 21A/4,
Tašmajdan, Beograd
Radno vreme
Ponedeljak - Petak od 11h do 19h